Ağrısız Rahim Filmi (HSG): Ankara
Ağrısız rahim filmi (HSG), rahim ve tüplerin açıklığını değerlendirmek için yapılan modern görüntüleme yöntemidir. İnce kateter ve ağrı kontrol teknikleri sayesinde işlem artık çok daha konforlu yapılmaktadır. Özellikle gebelik planlayan kadınlarda tüp açıklığını değerlendirmek için önemli bir testtir.
Çocuk sahibi olmak isteyen çiftler için en kritik aşamalardan biri, kadının üreme sisteminin sağlıklı çalışıp çalışmadığını anlamaktır. Özellikle rahim iç yapısı ve tüplerin açık olup olmadığı gebelik oluşumunda belirleyici rol oynar. İşte bu noktada rahim filmi yani HSG (Histerosalpingografi) devreye girer.
Geçmiş yıllarda rahim filmi işlemi ağrılı ve korkutucu bir işlem olarak anlatılırdı. Ancak günümüzde modern teknikler, ince kateter sistemleri, kontrollü kontrast verme teknikleri ve gelişmiş ağrı yönetimi sayesinde ağrısız rahim filmi mümkün hale gelmiştir.
Ankara’da perinatoloji ve kadın doğum pratiğinde özellikle infertilite araştırmalarında ağrısız HSG büyük avantaj sağlar. Çünkü hastalar korku nedeniyle testi ertelemez ve tanı süreci hızlanır.
Bu kapsamlı sayfada şu soruların tamamına cevap bulacaksınız:
-
Ağrısız rahim filmi nedir
-
Kimlere yapılır
-
İşlem nasıl yapılır
-
Gerçekten ağrısız mı
-
Gebelik şansını artırır mı
-
Riskleri var mı
-
İşlem sonrası süreç nasıldır
-
Ankara’da doğru merkez nasıl seçilir
Rahim Filmi (HSG) Nedir?
Rahim filmi, rahim iç boşluğunu ve tüplerin açıklığını değerlendirmek için yapılan özel bir röntgen görüntüleme yöntemidir.
Bu işlem sırasında rahim içine kontrast madde verilir ve röntgen altında görüntü alınır. Eğer tüpler açıksa kontrast tüplerden karın içine yayılır. Eğer tıkanıklık varsa kontrast ilerlemez ve bu durum net şekilde görülür.
Rahim filmi özellikle şu durumlarda yapılır:
-
Gebe kalamama (infertilite)
-
Tekrarlayan düşük
-
Rahim içi perde şüphesi
-
Rahim içi yapışıklık
-
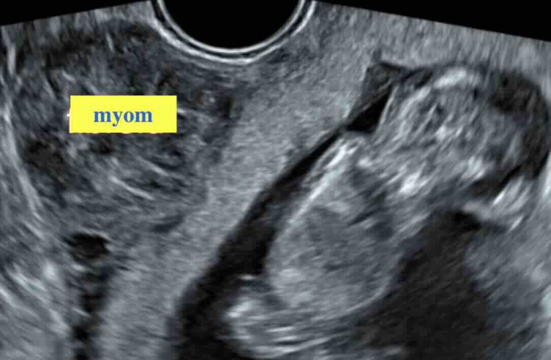
Polip veya miyom şüphesi
-
Tüp bebek öncesi değerlendirme
-
Dış gebelik öyküsü
Ağrısız Rahim Filmi Nedir?
Ağrısız rahim filmi, klasik HSG işleminin hasta konforu artırılarak uygulanmasıdır.
Modern yöntemde:
-
İnce yumuşak kateter kullanılır
-
Rahim ağzı zorlanmaz
-
Kontrast yavaş verilir
-
İşlem öncesi kas gevşetici verilir
-
Gerekirse hafif sedasyon uygulanır
Bu sayede hasta çoğunlukla sadece hafif adet sancısı benzeri kramp hisseder.
Ağrısız Rahim Filmi Nasıl Yapılır?
İşlem Öncesi
İşlem genellikle adet bittikten sonra yapılır.
En ideal zaman: Adet bitiminden sonraki 6–11 gün arasıdır.
Bu dönemde:
-
Gebelik ihtimali yoktur
-
Rahim içi daha net görülür
-
Enfeksiyon riski düşüktür
Hastaya işlem öncesi:
-
Ağrı kesici
-
Kas gevşetici
-
Gerekirse antibiyotik verilebilir
İşlem Sırasında
Hasta jinekolojik muayene pozisyonuna alınır.
İşlem basamakları:
-
Vajen steril temizlenir
-
Rahim ağzına ince kateter yerleştirilir
-
Kontrast madde kontrollü verilir
-
Röntgen görüntüsü alınır
Toplam süre:
???? Ortalama 3–5 dakika
İşlem Sonrası
Çoğu hasta:
-
10–20 dakika dinlenir
-
Aynı gün normal hayatına döner
Hafif kasık ağrısı olabilir. Bu durum genellikle birkaç saat içinde geçer.
Ağrısız Rahim Filmi Gerçekten Ağrısız mı?
Tamamen hissiz değildir. Ancak:
-
Hastaların büyük çoğunluğu hafif kramp hisseder
-
Bazı hastalar hiç ağrı hissetmez
Ağrıyı etkileyen faktörler:
-
Tüp tıkalı olması
-
Rahim kasılması
-
Hasta kaygısı
-
Daha önce doğum yapmamış olmak
Deneyimli uygulamada ağrı belirgin şekilde azalır.
Kimler Ağrısız Rahim Filmi Yaptırmalı?
Gebe Kalamayan Kadınlar
Tüp açıklığı değerlendirilir.
Tekrarlayan Düşük Olanlar
Rahim içi anormallikler araştırılır.
Tüp Bebek Öncesi
Doğal gebelik ihtimali değerlendirilir.
Dış Gebelik Geçirenler
Tüp hasarı kontrol edilir.
Rahim Filmi Gebelik Şansını Artırır mı?
Bazı hastalarda evet.
Bunun nedeni:
Kontrast sıvı tüpleri yıkayabilir.
Hafif tıkanıklıklar açılabilir.
Özellikle yağ bazlı kontrast kullanılan hastalarda ilk 3–6 ay gebelik oranında artış görülebilir.
Ağrısız Rahim Filmi Riskli mi?
Genel olarak güvenlidir.
Nadir riskler:
-
Enfeksiyon
-
Alerjik reaksiyon
-
Geçici ağrı
-
Hafif kanama
Deneyimli merkezlerde risk çok düşüktür.
Rahim Filmi Sonrası Nelere Dikkat Edilmeli?
İlk 24 saat:
-
Hafif ağrı olabilir
-
Hafif lekelenme olabilir
Doktora başvurulması gereken durumlar:
-
Ateş
-
Şiddetli ağrı
-
Kötü kokulu akıntı
Rahim Filmi Sonrası Gebelik Ne Zaman Denenmeli?
Genellikle aynı ay gebelik denenebilir.
Bazı hastalarda ilk 3 ay gebelik şansı artar.
Ankara’da Ağrısız Rahim Filmi Yaptırırken Nelere Dikkat Edilmeli?
-
Deneyimli hekim
-
Modern ekipman
-
Steril ortam
-
Ağrı kontrol protokolü
Ağrısız Rahim Filmi Psikolojik Olarak Neden Önemli?
Birçok hasta ağrı korkusu nedeniyle HSG yaptırmayı erteler.
Ağrısız yöntem sayesinde:
-
Test gecikmez
-
Tedavi süreci hızlanır
-
Gebelik planı erken yapılır
HSG Sonucu Nasıl Yorumlanır?
Normal:
-
Rahim içi normal
-
Tüpler açık
Anormal:
-
Tüp tıkalı
-
Rahim içi yapışıklık
-
Perde
-
Polip
Sık Sorulan Sorular (SSS)
Ağrısız rahim filmi gerçekten ağrısız mı?
Çoğu hastada minimal rahatsızlık olur.
İşlem kaç dakika sürer?
3–5 dakika.
Hastanede yatış gerekir mi?
Hayır.
Rahim filmi sonrası hamile kalınır mı?
Evet, özellikle ilk aylarda.
Rahim filmi zarar verir mi?
Doğru uygulandığında hayır.
Ağrısız rahim filmi (HSG) gerçekten ağrısız mı?
Ağrısız HSG tamamen hissiz değildir; çoğu kişide hafif adet sancısı benzeri kramp olur. İnce-yumuşak kateter, kontrastın yavaş verilmesi ve işlem öncesi ağrı kesici/kas gevşetici ile rahatsızlık belirgin azalır. Kaygı, tüp tıkanıklığı ve rahim kasılması ağrıyı artırabilir.
Rahim filmi (HSG) kaç dakika sürer?
HSG’nin görüntüleme kısmı genellikle 3–5 dakika sürer. Hazırlık, sterilizasyon ve kısa gözlemle birlikte merkezde kalış süresi çoğu hastada 20–40 dakika olur. Sedasyon uygulanırsa toplam süre uzayabilir ve işlem sonrası daha uzun gözlem gerekebilir.
HSG ne zaman çekilir, en ideal gün hangisi?
HSG için en uygun dönem adet bittikten sonraki 6–11. günler arasıdır. Bu aralıkta gebelik ihtimali düşüktür, rahim içi daha net görülür ve enfeksiyon riski daha azdır. Düzensiz kanaması olanlarda doktorunuz kişiye özel gün planlaması yapar.
Rahim filmi sonrası hemen hamile kalınır mı?
Bazı kadınlarda HSG sonrası özellikle ilk 3 ay içinde gebelik şansı artabilir. Bunun nedeni kontrast sıvının tüplerdeki hafif tıkanıklıkları veya mukusu temizleyebilmesidir. Ancak HSG bir “tedavi” değil tanı testidir; gebelik olasılığı altta yatan nedene göre değişir.
Rahim filmi (HSG) riskli mi?
HSG genel olarak güvenli bir işlemdir. Nadir riskler; enfeksiyon, alerjik reaksiyon, geçici kramp ve hafif kanamadır. Ateş, kötü kokulu akıntı veya şiddetli ağrı olursa aynı gün doktora başvurmak gerekir. Steril teknik ve doğru hasta seçimi riski azaltır.
Ankara’da ağrısız HSG için doğru merkez nasıl seçilir?
Doğru merkez seçimi için deneyimli ekip, modern cihaz, sterilizasyon standardı, ağrı kontrol protokolü ve sonuçların hekim tarafından ayrıntılı yorumlanması önemlidir. Sedasyon seçeneği, tek kullanımlık kateter ve hızlı randevu süreci de hasta konforunu artırır. Merkezin acil müdahale altyapısı da güven açısından değerlidir.
-
Ağrısız HSG ile anestezili HSG aynı mı?
Hayır. Ağrısız HSG; ince kateter, yavaş kontrast ve ilaç desteğiyle konfor artırılan yöntemdir. Anestezili HSG ise sedasyon/ kısa anestezi altında yapılır. Ağrı eşiği çok düşük, yoğun kaygı yaşayan veya önceki deneyimi kötü olanlarda anestezili yöntem tercih edilebilir. -
Anestezili rahim filmi kimlere önerilir?
Şiddetli kaygısı olan, vajinismus/yoğun kasılma yaşayan, rahim ağzı işlemlerinde çok zorlanan veya önceki HSG’de belirgin ağrı yaşayan kişilerde düşünülebilir. Ayrıca bazı rahim ağzı darlığı olanlarda konforu artırabilir. Karar kişiye özel verilmelidir. -
Rahim filmi öncesi aç olmak gerekir mi?
Standart HSG’de genellikle açlık şart değildir. Sedasyon/anestezi planlanıyorsa çoğu merkez güvenlik için açlık ister. Kullanacağınız merkezin protokolüne göre hareket etmek en doğrusudur. -
HSG öncesi antibiyotik şart mı?
Her hastada şart değildir. Ancak daha önce pelvik enfeksiyon geçirenler, hidrosalpenks şüphesi olanlar veya riskli gruplarda doktorunuz koruyucu antibiyotik önerebilir. Amaç enfeksiyon riskini en aza indirmektir. -
HSG öncesi ağrı kesici ne zaman alınır?
Çoğu hastada işlemden 30–60 dakika önce ağrı kesici almak kramp hissini azaltır. Ek olarak kas gevşetici veya rahim kasılmasını azaltan ilaçlar da kullanılabilir. Hangi ilacı alacağınızı mutlaka doktorunuz belirlemelidir. -
HSG sırasında tüpler tıkalıysa daha çok mu ağrır?
Tüp tıkanıklığı veya rahim kasılması varsa basınç artacağı için kramp daha belirgin olabilir. Deneyimli uygulamada kontrastın kontrollü verilmesi ve doğru kateter seçimi ağrıyı azaltır. Bazı hastalarda sedasyon seçeneği konfor sağlar. -
HSG sonrası ne kadar kanama olur?
Çoğu kişide hafif lekelenme 1 gün sürebilir. Parlak kırmızı yoğun kanama beklenmez. Yoğun kanama, kötü kokulu akıntı veya ateş olursa değerlendirme gerekir. -
HSG sonrası akıntı normal mi?
Evet. Kontrastın bir kısmı ve işlem sırasında kullanılan solüsyonlar nedeniyle kısa süreli sulu akıntı olabilir. Ancak kötü kokulu, sarı-yeşil akıntı veya ateş eşlik ederse enfeksiyon açısından doktora başvurulmalıdır. -
HSG sonrası ilişki ne zaman serbest?
Genellikle 24 saat sonra ilişki mümkündür. Bazı hekimler enfeksiyon riskini azaltmak için 48 saat beklemeyi önerebilir. Kişisel risk durumunuza göre en doğru öneriyi doktorunuz verir. -
HSG sonrası aynı ay gebelik denenir mi?
Çoğu hastada evet, aynı ay deneme yapılabilir. Hatta bazı hastalarda ilk 3 ay gebelik şansında artış görülebilir. Ancak enfeksiyon şüphesi, şiddetli ağrı veya ek işlem planı varsa doktorunuz bekleme önerebilir. -
Rahim filmi doğurganlığa zarar verir mi?
Doğru teknikle uygulandığında doğurganlığa zarar vermez. Amaç tanı koymak ve tedaviyi yönlendirmektir. Çok nadiren enfeksiyon gibi komplikasyonlar olabileceği için güvenilir merkez seçimi önemlidir. -
HSG radyasyon içerir mi, tehlikeli mi?
HSG röntgen ile yapılır ancak radyasyon dozu düşüktür ve süre çok kısadır. İşlem uygun günlerde yapıldığında gebelik ihtimali zaten düşüktür. Yine de gereksiz tekrar önerilmez. -
Emzirirken HSG çekilir mi?
Çoğu kontrast madde ile emzirme genellikle sorun oluşturmaz; ancak kullanılan maddeye göre değişebilir. Emziren annelerde hekim, kontrast tipi ve gerekirse kısa süreli ara konusunda net plan verir. -
Alerjim var, HSG yaptırabilir miyim?
Kontrast maddelere alerji öyküsü olanlar mutlaka önceden bildirmelidir. Gerekirse alternatif kontrast, premedikasyon veya farklı bir görüntüleme yöntemi planlanabilir. Alerji riski olanlarda işlem merkezi donanımı önem kazanır. -
Polip/miyom varsa HSG’de çıkar mı?
HSG rahim içi boşluğun şeklini gösterir ve polip/miyom şüphesi oluşturabilir. Ancak kesin tanı için çoğu zaman ultrason, SIS (salin sonohisterografi) veya histeroskopi daha net bilgi verir. -
Rahim içi perde (septum) HSG’de belli olur mu?
HSG’de rahim iç boşluk şekli değiştiği için perde şüphesi görülebilir. Ancak tanıyı netleştirmek için 3D ultrason, MRI veya histeroskopi gerekebilir. Tedavi planı bu doğrulamaya göre yapılır. -
HSG tüp bebekten önce mutlaka gerekir mi?
Her hastada şart değildir. Ancak tüp durumu, hidrosalpenks şüphesi veya rahim içi problem olasılığı varsa önerilebilir. Bazı hastalarda direkt ultrason/SIS/histeroskopi daha uygun olabilir. -
Hidrosalpenks HSG’de anlaşılır mı?
Evet, bazı durumlarda tüpte sıvı birikimi ve genişleme HSG’de şüphe uyandırır. Hidrosalpenks tüp bebek başarısını etkileyebileceği için tanı netleşirse ek değerlendirme ve tedavi planlanır. -
HSG sonrası karın şişliği olur mu?
Bazı hastalarda kısa süreli gaz/şişkinlik hissi olabilir. Genellikle birkaç saat içinde azalır. Şiddetli şişlik, ateş veya artan ağrı olursa kontrol gerekir. -
HSG sonrası antibiyotik kullanmak gerekir mi?
Koruyucu antibiyotik bazı hastalarda işlem öncesi/sonrası verilebilir. Her hastaya rutin şart değildir. Doktorunuz risk durumunuza göre karar verir. -
HSG’den önce vajinal duş yapılmalı mı?
Vajinal duş önerilmez; vajinal florayı bozabilir. Temizliğinizi dış genital bölge ile sınırlı tutmak daha sağlıklıdır. Merkez işlem öncesi steril hazırlığı zaten yapar. -
Adet düzensizliği olanlar HSG’yi ne zaman çektirmeli?
Düzensiz döngüde amaç gebelik ihtimalini dışlayarak uygun günü belirlemektir. Doktorunuz gerekirse gebelik testi ile teyit eder ve en güvenli zamanlamayı planlar. -
Vajinismus olanlar HSG yaptırabilir mi?
Evet, ancak konfor için ağrısız protokol, gerekirse sedasyon ve deneyimli ekip çok önemlidir. Bazı hastalarda işlemin psikolojik yükünü azaltmak için sedasyon en iyi seçenek olabilir. -
Rahim ağzı darlığı varsa HSG zor olur mu?
Rahim ağzı darlığında kateter yerleştirme zorlaşabilir. İnce kateter sistemleri ve deneyim işlemi kolaylaştırır. Nadiren ek yöntem veya sedasyon gerekebilir. -
HSG sonucunda “spazm” ne demek?
Tüpler bazen gerçek tıkanıklık olmadan geçici kasılma (spazm) gösterebilir. Bu nedenle sonuçlar klinik ve diğer testlerle birlikte yorumlanır. Gerekirse tekrar değerlendirme veya farklı yöntem önerilebilir. -
HSG sonrası ağrı kaç gün sürer?
Çoğu hastada birkaç saat içinde belirgin azalır. 1 günü aşan şiddetli ağrı beklenmez. Ağrı artıyorsa veya ateş eşlik ediyorsa enfeksiyon dışlanmalıdır. -
HSG’de tüpler açık çıkarsa yine de gebe kalınmayabilir mi?
Evet. Tüpler açık olsa bile yumurtlama, sperm kalitesi, endometriozis veya yaş gibi başka faktörler gebeliği etkiler. HSG sadece önemli bir parçayı değerlendirir. -
HSG mi, Histeroskopi mi daha iyi?
İkisi aynı şeyi ölçmez. HSG tüp açıklığı ve rahim boşluk şeklini değerlendirir. Histeroskopi rahim içine kamerayla bakar; polip, yapışıklık gibi sorunları daha net görür ve aynı anda tedavi edebilir. Hangi testin uygun olduğuna hekim karar verir. -
HSG’den sonra duş alınır mı?
Aynı gün duş genellikle mümkündür. Ancak ilk 24 saat havuz/hamam gibi enfeksiyon riskini artıran ortamlar önerilmez. Merkezinizin önerisine uyun. -
Menopozda HSG çekilir mi?
Menopozda HSG nadiren gerekir. Postmenopozal kanama, rahim içi patoloji şüphesi gibi durumlarda farklı yöntemler (transvajinal USG, endometriyal biyopsi, histeroskopi) daha sık tercih edilir. HSG ancak özel bir klinik gerekçe varsa planlanır.
HSG (Rahim Filmi) Fiyatı 2026 Ankara: Ücreti Neler Belirler?
Ankara’da HSG fiyatı 2026 yılında; işlemin standart mı yoksa ağrısız protokolle mi yapıldığına, sedasyon/anestezi gerekip gerekmediğine, kullanılan kontrast maddeye ve merkezin teknik donanımına göre değişir. Devlet hastanelerinde SGK kapsamında randevu ile daha düşük maliyetle yapılabilirken, özel merkezlerde hasta konforu ve hizmet kapsamı arttıkça ücret de artabilir.
Fiyatı artırabilen faktörler:
-
İnce-yumuşak kateter ve tek kullanımlık setler
-
Ağrı kontrol protokolü (ilaç planı, rahim kasılmasını azaltma)
-
Sedasyon/anestezi (anestezi ekibi + monitörizasyon)
-
Modern cihaz ve hızlı raporlama
-
Aynı gün hekim değerlendirmesi ve detaylı sonuç görüşmesi
En doğru yaklaşım:
Fiyat sormak kadar, işlemin steril koşullarda, deneyimli ekip tarafından, konfor ve güvenlik standartlarıyla yapılmasını da sorgulayın. Çünkü doğru teknik hem ağrıyı azaltır hem de sonuçların güvenilirliğini artırır.
Hızlı cevap:
“Ankara’da 2026 HSG fiyatı” için tek bir rakam yoktur; standart HSG ile ağrısız/ sedasyonlu HSG farklı ücretlendirilir. Randevu öncesi merkeze “sedasyon var mı, tek kullanımlık kateter mi, rapor aynı gün mü?” sorularını mutlaka sorun.
Bu sayfa, Kadın Doğum 2026 yılı rehberleri baz alınarak güncellenmiştir.
